뇌 촌충과 유구낭미충: 인체 기생충에 대한 주의사항
소개
인체 기생충은 항상 우리의 주의를 끄는 주제 중 하나입니다. 특히 유구낭미충, 즉 유구조충에 의한 인체감염증은 심각한 문제로 알려져 있습니다. 유구낭미충은 인간의 장에 서식하는 촌충의 유충으로, 근육이나 뇌 조직으로 침투하여 낭종과 같은 결절을 형성할 수 있습니다. 이러한 감염은 심각한 증상을 유발할 수 있으므로 유구낭미충 감염에 대한 예방과 조심이 필요합니다.
유구낭미충 감염과 육류
유구낭미충은 주로 돼지고기에 서식하며, 돼지고기를 충분히 익히지 않고 섭취할 경우 인체로 옮겨올 수 있습니다. 육류 중에서는 돼지고기가 가장 높은 위험성을 가지고 있으며, 유구낭미충의 유충은 뇌나 눈 등에 침투하여 심각한 증상을 일으킬 수 있습니다. 이러한 증상에는 두통, 복통, 심한 기침, 발작, 시력 저하 등이 포함됩니다. 세계보건기구(WHO)는 유구조충 유충으로 인해 뇌에 생기는 낭종이 뇌전증 유발의 주 원인이라고 밝히고 있습니다. 따라서, 육류를 소비할 때에는 안전을 위해 충분한 익힘을 필요로 합니다.

다음은 적절한 익힘 온도에 대한 가이드입니다:
| 육류 종류 | 적정 익힘 온도 |
| 소고기 | 66℃ 이상 |
| 돼지고기 | 77℃ 이상 |
이러한 예방 조치를 통해 유구낭미충 감염을 피할 수 있습니다.
세균 감염과 위생 관리
기생충 감염 외에도, 육류 소비 시 세균에 의한 감염에도 주의해야 합니다. 살모넬라균과 캄필로박터균은 육류에서 발견되는 세균 중 일부입니다. 이러한 세균에 감염되면 급성 설사와 같은 증상이 나타날 수 있습니다. 따라서, 올바른 조리 및 위생 관행은 이러한 세균으로부터 우리를 보호하는 데 중요한 역할을 합니다.
아래는 육류 소비 시 적용할 수 있는 위생 관리 요령입니다:
- 음식을 만들기 전에 손을 깨끗이 씻는 것을 습관화해야 합니다.
- 식재료를 만질 때는 칼과 도마를 식재료별로 구분하여 사용하는 것이 좋습니다.
- 도구를 사용할 때마다 세제로 세척하는 것이 중요합니다.
위의 조치들을 통해 우리는 세균으로부터 보다 안전하게 건강을 지킬 수 있습니다.
환자의 조치와 검사
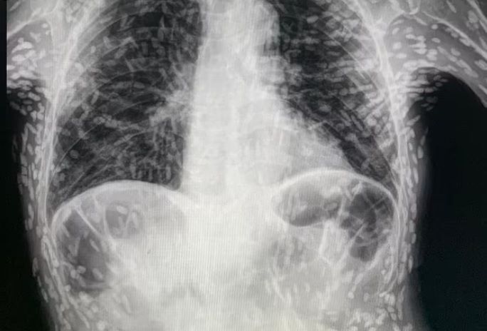
이 문서에서 언급된 엑스레이 사진과 관련된 환자의 경우, 의료진은 해당 환자가 특별한 치료를 받지 않아도 된다고 밝혔습니다. 만약 뇌나 척수, 눈에 이상이 없다면 추가적인 치료가 필요하지 않을 수 있습니다. 또한, 사진 속의 유충들은 석회화되어 생존할 수 없는 상태이므로 특별한 조치가 필요하지 않습니다. 그러나 해당 환자의 뇌에 낭종이 있는지 확인하기 위해 MRI 검사를 기다리고 있다고 전해졌습니다. 따라서, 환자는 의료진의 조언에 따라 추가 검사를 받아야 하며, 이를 통해 건강 상태를 정확히 판단할 수 있습니다.
정리
적절한 익힌 육류의 섭취와 위생 관리는 기생충 및 세균으로부터 우리를 보호하는 중요한 요소입니다. 유구낭미충을 포함한 인체 기생충으로부터의 감염을 예방하기 위해서는 육류를 충분히 익히는 것이 필요합니다. 또한, 위생 관리를 철저히 하여 세균에 의한 감염을 예방할 수 있습니다. 마지막으로, 의료진의 조언에 따라 추가적인 검사를 받아 건강 상태를 확인하는 것이 중요합니다. 우리는 이러한 예방 조치를 통해 건강을 지키는 데 최선을 다해야 합니다.
'과학 이야기' 카테고리의 다른 글
| 유령입자 '타우 중성미자' 찾는 소립자 검출기 남극 IceCube (0) | 2024.09.03 |
|---|---|
| 중성미자: 우주의 신비를 밝히는 미세한 입자 (0) | 2024.08.26 |
| 8월 1일 슈퍼문 뜨는 시간. Supermoon 이란? 다음 슈퍼문은 언제인가요? (0) | 2023.07.18 |
| 식초 효능 부작용과 성질 정리! (0) | 2023.06.15 |
| 수관기피 현상(crown shyness) (0) | 2023.06.14 |