뇌 촌충과 열두조충: 중국의 기생충과 그 위험성
소개
안녕하세요! 이번에는 중국의 기생충인 뇌 촌충과 열두조충에 대해 알아보려고 합니다. 이 기생충들은 사람의 신체 내에서 장내에 기생하는 벌레로 알려져 있습니다. 뇌 조직으로 침투할 경우 생명에 위험을 초래할 수 있다는 사실이 확인되었습니다. 이 블로그 포스트에서는 뇌 촌충과 열두조충의 특징, 감염 경로, 그리고 예방법에 대해 자세히 알아보겠습니다.
뇌 촌충과 열두조충: 무엇인가요?
뇌 촌충과 열두조충은 중국 광둥성 푸산시 순더 지역에서 발견된 기생충입니다. 이들 기생충은 사람의 신체 내에서 침투하여 장내에 기생하며, 주로 익지 않은 날생선, 쇠고기, 돼지고기를 섭취할 때 감염됩니다. 특히 송어, 연어, 대구와 같은 날생선을 생으로 섭취할 경우 유충이 체내로 침투하는 사례가 많이 보고되고 있습니다.
뇌 촌충과 열두조충의 위험성
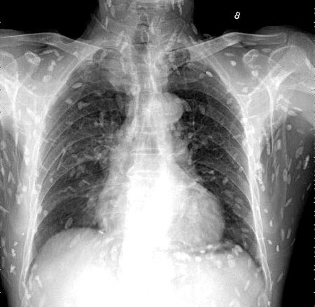
이 기생충들이 뇌조직으로 침투할 경우 생명에 위험을 초래할 수 있습니다. 회를 섭취한 남성의 사례에서도 복부통증과 피부가려움 등의 증상이 나타나, 엑스레이 결과 전신에 기생충이 퍼져 있는 것이 확인되었습니다. 따라서, 이러한 기생충에 감염될 경우 조기에 발견하고 치료하는 것이 매우 중요합니다.
뇌 촌충과 열두조충의 감염 경로
뇌 촌충과 열두조충은 주로 음식물을 통해 인체로 침입합니다. 익지 않은 날생선, 쇠고기, 돼지고기를 섭취할 때 주의가 필요하며, 특히 날생선을 생으로 먹을 때는 감염 위험이 크다고 알려져 있습니다. 따라서, 생선 요리를 할 때에는 충분한 익힘과 온도 관리를 해야 합니다. 또한, 가축이나 해충과의 접촉으로도 감염될 수 있으므로, 산뜻한 식품을 선택하고 적절한 조리 과정을 거쳐 섭취하는 것이 중요합니다.

인체 기생충에 대한 이야기는 항상 우리의 주의를 끌어옵니다. 특히 유구낭미충이라고 불리는 유구조충에 의한 인체감염증은 그 중 하나입니다. 유구낭미충은 주로 인간의 장에 서식하는 촌충의 유충으로, 근육이나 뇌 조직으로 침투할 수 있습니다. 이러한 침투로 인해 낭종과 같은 결절이 형성되며, 심각한 증상을 유발할 수 있습니다.
육류 중에서는 돼지고기가 가장 높은 위험성을 가지고 있습니다. 유구조충은 돼지고기를 제대로 익히지 않고 섭취할 때 인체로 옮겨올 수 있습니다. 뇌나 눈 등에 유충이 생길 수 있으며, 이로 인해 두통, 복통, 심한 기침, 발작, 시력 저하 등의 증상이 나타날 수 있습니다. 세계보건기구(WHO)는 유구존충 유충으로 인해 뇌에 생기는 낭종이 뇌전증 유발의 주 원인이 된다고 설명하고 있습니다.

따라서, 안전을 위해서는 육류를 속까지 완전히 익혀야 합니다. 소고기는 중심온도가 66℃ 이상, 돼지고기는 77℃ 이상에서 충분히 익혀야 유구조충이 죽습니다. 이와 같은 예방조치를 통해 기생충 감염을 피할 수 있습니다.
기생충 감염뿐만 아니라 세균에 의한 감염도 주의해야 합니다. 살모넬라균과 캄필로박터균은 육류에서 발견되는 세균 중 일부입니다. 이러한 세균에 감염되면 급성 설사와 같은 증상이 나타날 수 있습니다.
올바른 조리 및 위생 관행은 이러한 세균으로부터 우리를 보호할 수 있습니다. 육류를 익혀 먹는 것 외에도, 음식을 만들기 전에 손을 깨끗이 씻는 것, 식재료를 만질 때는 칼과 도마를 식재료별로 구분하여 사용하는 것도 중요합니다. 도구를 사용할 때마다 세제로 세척하는 것이 좋습니다.

마지막으로, 위에서 언급한 엑스레이 사진과 관련된 환자의 경우, 의료진은 해당 환자가 특별한 치료를 받지 않았다고 밝혔습니다. 만약 머리, 척수, 눈에 이상이 없다면 치료를 받을 필요가 없다고 말하고 있습니다. 또한, 사진 속의 유충들은 석회화되어 생존할 수 없는 상태이므로 특별한 조치가 필요하지 않다고 설명되었습니다. 그러나 해당 환자의 뇌에 낭종이 있는지 확인하기 위해 MRI 검사를 기다리고 있다고 전했습니다.

요약하자면, 적절한 익힌 육류의 섭취와 위생 관리는 기생충 및 세균으로부터 우리를 보호하는 중요한 요소입니다. 의료진의 조언에 따라 추가적인 검사가 이루어질 예정이며, 우리는 이러한 예방조치를 통해 건강을 지키는 데 최선을 다해야 합니다.
뇌 촌충과 열두조충의 예방법
뇌 촌충과 열두조충에 대한 예방법은 다음과 같습니다:
- 식품 안전 유지: 날생선을 먹을 때에는 반드시 충분히 익혀야 합니다. 또한, 육류를 섭취할 때에도 적절한 조리를 통해 기생충 감염을 방지해야 합니다.
- 신선한 식품 선택: 가축과 해충으로부터의 감염을 피하기 위해, 신선한 식품을 선택하는 것이 중요합니다. 식품의 보관 상태와 유통 기한을 주의깊게 확인해야 합니다.
- 개인 위생 유지: 손을 깨끗하게 씻고 조리 도구와 식기를 철저히 세척하는 것은 기생충 감염을 예방하는 데에 도움이 됩니다.
결론
뇌 촌충과 열두조충은 중국에서 발견된 기생충으로, 사람의 신체 내에서 장내에 기생하는 벌레입니다. 이 기생충들은 익지 않은 날생선, 쇠고기, 돼지고기를 섭취할 때 주로 감염되며, 뇌 조직으로 침투할 경우 생명에 위험을 초래할 수 있습니다. 따라서, 음식물을 섭취할 때에는 충분한 익힘과 신선도 유지에 주의해야 하며, 개인 위생 유지도 중요합니다. 건강한 삶을 위해 기생충에 대한 예방과 관리에 항상 신경을 써야 합니다.
'과학 이야기' 카테고리의 다른 글
| 중성미자: 우주의 신비를 밝히는 미세한 입자 (0) | 2024.08.26 |
|---|---|
| 뇌 촌충과 유구낭미충: 인체 기생충에 대한 주의사항 (0) | 2023.07.21 |
| 8월 1일 슈퍼문 뜨는 시간. Supermoon 이란? 다음 슈퍼문은 언제인가요? (0) | 2023.07.18 |
| 식초 효능 부작용과 성질 정리! (0) | 2023.06.15 |
| 수관기피 현상(crown shyness) (0) | 2023.06.14 |